Articles:success-stories 

Peter is a 77-year-old man who first presented eleven years ago following a fall and injury to his right shoulder.

Right Reverse Shoulder Replacement

Peter is a 77-year-old man who first presented eleven years ago following a fall and injury to his right shoulder. At that time, he was diagnosed with a degenerative massive rotator cuff tear. Despite the severity of the injury, his pain settled with conservative management, and he recovered very well with good function.

He returned approximately one year ago with worsening symptoms, most notably pain at night that disturbed his sleep, pain on lifting his arm that limited his ability to perform overhead activities, and pain radiating down his arm. An X-ray at this time confirmed cuff arthropathy of the right shoulder. Given his persistent pain, functional limitation, and radiographic evidence of cuff arthropathy, I recommended CT planning and a right reverse shoulder replacement. He was taking Plavix for cardiovascular prophylaxis, which was reviewed and continued safely in the perioperative period.

Peter subsequently underwent a right reverse shoulder arthroplasty. The procedure was performed through a standard deltopectoral approach. Intraoperative findings confirmed degenerative changes consistent with cuff arthropathy. The glenoid was prepared and fitted with a baseplate and glenosphere, while the humerus was prepared and fitted with a stem and polyethylene liner. Soft-tissue balancing was carefully performed, and a stable construct was achieved with restoration of shoulder biomechanics.

Peter is a 77-year-old man who first presented eleven years ago following a fall and injury to his right shoulder.

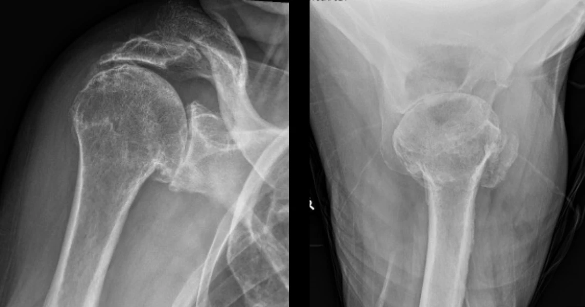
Pre-operative X-rays showing cuff arthropathy of the right shoulder

This shows a displaced and shortened 2 part fracture of the midshaft of the clavicle.

Post-operative X-rays showing the shoulder replacement in place

At his six-week postoperative review, Peter had progressed very well. He reported minimal, if any, pain and was pleased with his recovery. On examination, he was able to forward elevate his arm to 150 degrees and externally rotate to 60 degrees. I recommended ongoing physiotherapy with gradual strengthening to continue his improvement.

At his five-month review, Peter continued to do well. He reported excellent function and satisfaction with his shoulder. On examination, he maintained forward elevation to 150 degrees and external rotation to 50 degrees, with smooth joint movement and no evidence of crepitus. He expressed a strong desire to return to the gym, which I considered reasonable at this stage of his recovery. Remarkably, he has now also returned to water skiing, which is an excellent reflection of both his determination and the functional success of the surgery. I recommended ongoing strengthening and advised that I would like to review him again in September with repeat X-rays of his right shoulder.

This case highlights the successful role of reverse shoulder arthroplasty in the management of cuff arthropathy in elderly patients. For Peter, the procedure resulted in excellent pain relief, significant improvement in range of motion, and a return to recreational activities that he had previously been unable to enjoy. His outcome demonstrates how reverse shoulder replacement can provide not only relief from pain but also restoration of function and quality of life.

For specific advice regarding shoulder replacement surgery, please book an appointment with Dr David Duckworth on (02) 9806 3333

< Previous   Article 2 / 4   Next >

For appointments and enquiries, please phone (02) 9806 3333

8am to 5pm, Monday to Friday

© 2008- Dr David Duckworth

Website by: WebInjection