Clavicle (Collar Bone) Fractures 

Image

In my practice as a shoulder and elbow specialist, clavicles are the most commonly fractured bone seen in the clinic.
- Dr Duckworth

Image

The collar bone or clavicle is a bone which is located between the shoulder and the sternum (or breast bone).

The most common way to fracture the clavicle is through a fall or direct blow to the area, often after a fall from a bike, a football injury or soccer injury. Occasionally it can be fractured in a car accident. It is generally an isolated fracture although sometimes it occurs with other shoulder fractures or more commonly with rib fractures.

The clavicle bone is divided into 3 main parts:

  1. Medial end
    - part closest to the sternum
  2. Midshaft
    - middle of the clavicle and the most commonly fractured part
  3. Distal end
    - outside part of the clavicle

Learn more about clavicle fracture surgery

 Mid-shaft Clavicle Fractures 

What are the symptoms?

These fractures generally occur due to a fall directly onto the shoulder or a fall onto an outstretched hand. One generally feels a crack or acute pain through the outer end of the collarbone. There’s generally swelling and bruising and in a lot of cases an obvious deformity or lump on top of the shoulder. This is usually due to the bone displacing upwards and often backwards. The shoulder is often painful and a clicking sensation is often felt.

How is a diagnosis made?

Diagnosis of a clavicle fracture is made using the history described by the patient, a plain x-ray of the clavicle and in some instances a CT scan.

How are these problems treated?

In the past most patients have been treated in a sling and sent to their general practitioner for ongoing treatment. They have been told that it will take 6 to 8 weeks for the fracture to heal and that you will be left with a lump however it probably won’t bother you in the future.

This is true for the majority of fractures in patients less than twelve to fourteen years of age however for those older, it is slowly becoming more evident that a lot of these fractures don’t do as well as thought in the past.

It is generally accepted that clavicle fractures in adults that are in good alignment or near anatomical position can be left to heal well in a sling or in a figure-of-8 bandage. In a child this will take about 4 weeks to heal and in an adult about 6 to 8 weeks.

Which fractures require surgery?

In my practice and what is generally becoming more accepted in the literature, is that most fractures of the clavicle that are displaced, angulated or overlapped are best treated with an operation. This operation can either be performed by realigning the bones in their original shape using a plate and screws on top of the bone or by using a pin that goes down the centre of the bone. Both of these techniques are successful and the decision generally comes down to the fracture pattern and the preference of the surgeon. The idea of the operation is to make the patient as comfortable as possible by making the fracture stable, and therefore allowing the patient to return to normal activities as soon as possible.

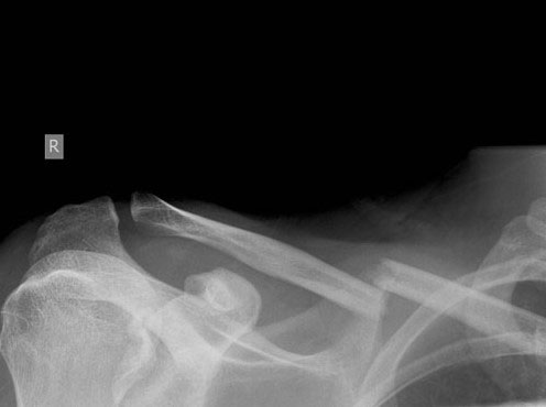
What do clavicle fractures look like on X-ray?

Below are examples of typical fractures that benefit from surgery.

  Click an image to enlarge

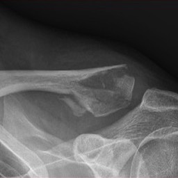
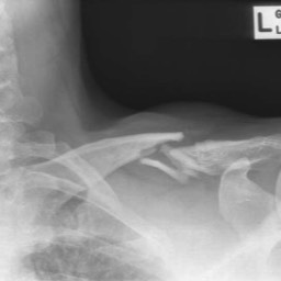
 Distal Clavicle Fractures 

What are the symptoms?

These fractures generally occur due to a fall directly onto the shoulder or a fall onto an outstretched hand. One generally feels a crack or acute pain through the outer end of the collarbone. There’s generally swelling and bruising and in a lot of cases an obvious deformity or lump on top of the shoulder. This is usually due to the bone displacing upwards and often backwards. The shoulder is often painful and a clicking sensation is often felt.

How is a diagnosis made?

Diagnosis of a distal clavicle fracture is made with history, then a plain xray of the clavicle and in a lot of cases a CT scan. With new 3D CT scan imaging, separation of bony fragments can be well visualised which helps for possible surgical planning.

What do Distal Clavicle Fractures Look Like on X-ray and CT?

X-RAY

  Click an image to enlarge

CT

  Click an image to enlarge

How are these problems treated?

The management of the distal clavicle fracture really depends on whether it is displaced or undisplaced. If it is undisplaced and there is no obvious lump, the fracture can be treated without surgery and resting the arm in a sling for 4-5 weeks. These fractures can then take up to three months to completely heal.

If there is any evidence clinically and radiologically of displacement, then surgery is generally recommended due to the high incidence of the fracture not healing (non-union).

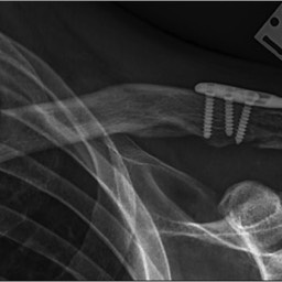
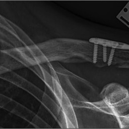
Which fractures require surgery?

Generally all displaced fractures of the distal clavicle require surgery to increase the incidence of union. In my practice, the operation is performed by realigning the bones back to their original position using a plate and screws on top of the bone. The advantage of fixing them with a plate and screws generally means that you can start to move the arm a lot quicker and to also decrease the incidence of non-union.

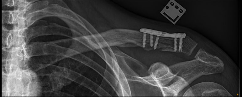
How is the Operation Done?

The operation is performed with the patient under a general anaesthetic, in other words, completely asleep, and a small 3-4 cm incision is made under the collarbone, at the end of the shoulder. The fractured bone ends are exposed and put back into position using a plate and screws as shown below.

  Click an image to enlarge

This fixation also needs reinforcement using special sutures around the plate and around the bone next to the clavicle called the coracoid process. The sutures are used to decrease the deforming forces from your shoulder muscles. In the majority of cases, in my hands, the operation is extremely successful resulting in the bone healing and the return of near normal function. In a small number of cases, the plate needs to be removed if it irritates the patient under the skin.

In certain circumstances, when the fractured piece of bone is only small, special figure-of-eight sutures are used and no plate is necessary as shown in the images below.

  Click an image to enlarge

 Types of clavicle fractures

There are various types or classifications of clavicle fractures and below are some examples of each type and how they look once they have been fixed:

1. Angulated Fractures

As the clavicle is a flat bone, if it heals in a bent position there is an increased chance of refracture when left alone.

This young man was 16 years old at when he landed heavily while playing rugby. He had surgery three days after seeing me and healed within 5 weeks.

Angulated fracture before surgery
Angulated fracture after surgery

  Move the slider to compare before surgery and 5 weeks after surgery

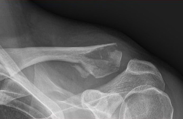
2. Displaced Fractures

A fracture where the 2 bone ends are widely separated. These fractures have a higher incidence of not healing and if they do heal the bone is often deformed causing the shoulder to "not feel right".

This 14 year old male fell from his skateboard and within 5 weeks of having the plate inserted had healed, had full range of motion and absolutely no pain.

DIsplaced fracture before surgery
DIsplaced fracture after surgery

  Move the slider to compare before surgery and 5 weeks after surgery

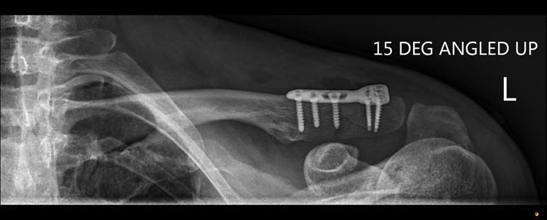
A 15 year old female fell from her pushbike causing a displaced left mid-shaft clavicular fracture. Seen 5 days later, plate & screws inserted 2 days later.

Image
DIsplaced fracture before surgery
DIsplaced fracture after surgery

  Move the slider to compare before surgery and after surgery

3. Fracture in numerous pieces (comminuted)

The clavicle often has 2 main fracture fragments and then 2 or 3 other pieces which make healing difficult. These fractures are best treated by realigning the clavicle through surgery in order to prevent further complications of shortening and overlap.

This 34 year old man came off his pushbike and landed on his right shoulder causing a fracture of his clavicle. He had surgery one day after seeing me and while his x-rays showed he hadn't quite healed, he was doing everything and had a full range of motion. He had one more visit two months later which showed he had completely healed therefore was discharged from my care.

Comminuted fracture before surgery
Comminuted fracture after surgery

  Move the slider to compare before surgery and 2 months after surgery

This 38 year old man came off his motorbike at high speed on the race track and presented with a comminuted fracture of his clavicle. His 3D CT scan highlighted the extent of the damage and I operated on him two days later. The plate used is much larger than I would normally use as is the scar, however this was necessary in order to secure all of the fracture fragments. He told me he felt better as soon as he woke up in the recovery room. When I saw him six and a half weeks following his surgery his fracture has already healed in perfect position, he had a full range of motion and volunteered to prove he was already able to do push ups (watch the following videos to see for yourself!)

Comminuted fracture before surgery
Comminuted fracture after surgery

  Move the slider to compare before surgery and 6.5 weeks after surgery

This 17 year old male came of his bike and had surgery the same day he saw me. He did very well with a good range of motion and no pain within five weeks of his operation.

Comminuted fracture before surgery
Comminuted fracture after surgery

  Move the slider to compare before surgery and 5 weeks after surgery

The following xrays belong to a 21 year old lady who was visiting from overseas and who fell while staying at a farm. She suffered a 4-part fracture of her clavicle which required fixation before she returned to Germany two weeks after her surgery.

Comminuted fracture before surgery
Comminuted fracture after surgery

  Move the slider to compare before surgery and 2 weeks after surgery

This 41 year old man came off his motorbike at Eastern Creek raceway and had surgery two days after seeing me. Five weeks later he had almost a full range of motion and strength and the last time I saw him, three months after his surgery, he was extremely happy with his progress and doing everything normally.

Comminuted fracture before surgery
Comminuted fracture after surgery

  Move the slider to compare before surgery and 3 months after surgery

This 23 year old fell when playing soccer and managed to shatter his clavicle into 5 pieces. Five weeks following his surgery his fracture had almost completely healed and he had a good range of motion. Three months after his operation he had a normal shoulder again, the clavicle fracture was solidly healed and he was a happy man.

Comminuted fracture before surgery
Comminuted fracture after surgery

  Move the slider to compare before surgery and 3 months after surgery

This 26 year old Olympic swimmer fractured his clavicle playing touch football. The clavicle was fixed through a 4cm incision. The fracture was fully healed in 5 weeks and the patient returned to swimming in 4 weeks. He made a full recovery.

Comminuted fracture before surgery
Comminuted fracture after surgery

  Move the slider to compare before surgery and 5 weeks after surgery

For specific advice regarding clavicle fractures, please book an appointment with Dr David Duckworth on (02) 9806 3333

For appointments and enquiries, please phone (02) 9806 3333

8am to 5pm, Monday to Friday

© 2008- Dr David Duckworth

Website by: WebInjection