Acromio-Clavicular(AC) Joint Reconstructions 

AC joint dislocations occur most commonly when one falls directly on the point of the shoulder.

AC joint reconstructions are reserved for dislocations with unacceptable deformity and collapse of the shoulder joint.
- Dr Duckworth

Medical illustration showing the anatomy of the shoulder joint including ligaments and bones.

Depending on the severity of an AC joint dislocation, it may heal within two to three weeks. The good news is that the majority of Grade I, II and III injuries do not require surgery. Most of the Grade III injuries usually allow return to full activity with some restrictions.

However, in some cases, surgery may be indicated. Usually surgery is reserved for those cases with unacceptable deformity and collapse of the shoulder joint. In these situations the A-C joint is stabilised and reduced surgically.

Learn more about AC joint dislocations

 Surgical treatment

An AC Joint Reconstruction takes approximately one and a half hours. Under a general anaesthetic, a 4 cm incision is made on top of the shoulder and the torn ligaments of the acromio-clavicular joint are repaired. The repair is supported by using 2 buttons with special tape running from the coracoid process to the clavicle. The clavicle is reduced and the tape secured on top with the Dog Bone buttons pictured below:

Drawing of a Dog Bone button userd in AC joint reconstruction surgery

The remaining ligaments are then repaired. The wound is closed and the patient is placed in a supportive sling.

Drawing of a Dog Bone button userd in AC joint reconstruction surgery

Tony is a 61 year old farmer, who lives in Rural NSW. His injury occurred when he fell off a horse and landed on his left shoulder. Tony presented to his local Emergency Department where he was complaining of left shoulder pain and an obvious lump. He was diagnosed of having an AC joint dislocation and had an X-ray was placed in a sling. He was given conflicting information as to what to do.

A week later, Tony attended my rooms and I noted that he had an obvious visible deformity to his left AC Joint. On examination, he had evidence of a Grade 3/5 Left AC Joint Dislocation, which was confirmed clinically and by Xray. He had collapse of his shoulder with loading his shoulder against resistance. This is typical of a significant disruption of your AC ligaments.

For this reason I gave Tony the option of an AC joint reconstruction using special tape and little metal dog bones that are placed on top of the clavicle. The advantage of surgery was that it could reduce the dislocation and decrease his pain.

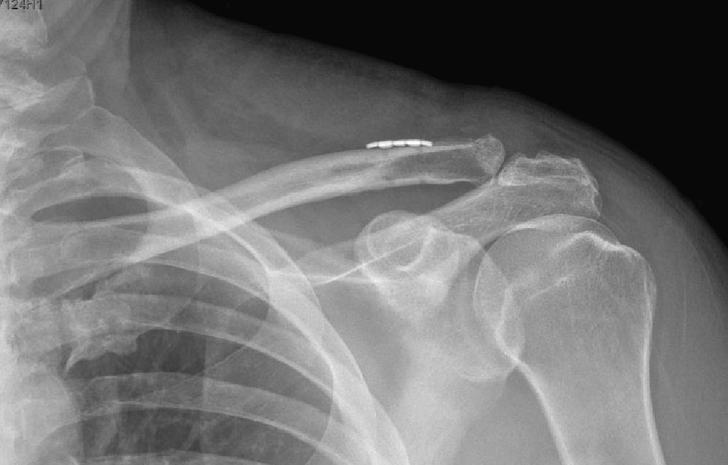
I operated on Tony later the same day and, after an overnight stay in a Sydney hospital, he was able to travel 4 hours home. Tony reported feeling significantly better after the surgical stabilisation of the joint. Below is the x-ray just one week after surgery.

At 6 weeks he had normal alignment to his shoulder and near full range of motion. He was very happy he had surgical stabilisation of this joint.

AC joint dislocation before surgery
AC joint dislocation after surgery

  Move the slider to compare before surgery and 6 weeks after surgery

 What to Expect

Before Surgery

When you are booked in for surgery Dr Duckworth's staff will give you a guide of when you should fast and present at the hospital. The day before surgery, you can expect to hear from the hospital to give you the exact times.

Once admitted, you will be visited by your anaesthetist who will ask questions about your health and talk to you about the anaesthetic. The anaesthetist will also use this time to talk to you about pain relief after the operation.

When asked to change into a theatre gown, please remove all clothing. Underwear can be worn but the fabric must be a natural fibre and not synthetic. If necessary, your shoulder may be shaved or the hair clipped and the area “prepped” with betadine and covered with a sterile towel.

Once in the operating suite, the anaesthetic nurse will place ECG electrodes (stickers with gel on them) on your chest and a blood pressure cuff on your arm.

The anaesthetic is administered through a small needle in the back of the hand/arm, which will send you to sleep quickly. The operation itself takes about 60-75 minutes, however you may be away from the ward for about two and a half hours. There is usually a short wait before the surgery, and then when the operation is over you will be cared for in the recovery room for some time before returning to the ward.

After Surgery

In the recovery room, a nurse will be there at all times. You will have a drip in your arm, an oxygen mask over your face or an oxygen tube in your nose. You will remain in the recovery room until the staff are satisfied that your condition is stable and your pain is controlled. This is usually about an hour.

When you return to the ward you will have:

  • A drip in your arm
  • Your arm in a sling

During your hospital stay you will be given pain relief (usually Panadeine Forte, Endone or Tramadol). It is important to have these regularly in order to keep your pain at a tolerable level to enable you to move about.

The codeine in some tablets can cause constipation. It is recommended to avoid or treat the constipation rather than going without the pain relievers. This can be done by drinking at least 8 glasses of water or juice per day (tea and coffee do not count), eating a high-fibre diet including fresh fruit and vegetables each day and walking around rather than confining yourself completely to bed. Mild laxatives are available should you feel you need them. Once you, Dr Duckworth and the staff are satisfied that you are comfortable and well enough to be discharged you will be able to go home.

 After Discharge

Dr Duckworth’s nurse Bec will phone you within a couple of days of coming home. While the main purpose of her call is to check that all is going well, this is also an opportunity to ask any questions and also to confirm your first follow-up appointment.

For those patients who come from the country, it may be more convenient to have your wound checked by your local doctor. You are going to be wearing a sling for the next 4 weeks or so and this is therefore going to restrict you in most of your usual activities.

Pain
You will still have some pain but this should be relieved by the medication you are discharged home with. You may need to take these regularly for the first week and then decrease them as the pain lessens. Please advise the staff at the rooms if your pain is not relieved by taking the tablets regularly or if it suddenly becomes worse or severe.

Wound Care
You should not need to change or remove the dressing that will be on your wound. These dressings are waterproof, enabling you to shower and wash without worrying about wetting it. You may see some blood beneath the dressing but this will not cause any harm and can remain in place until you are seen about one week after your operation. If this dressing should come off do not worry, you can still get the wound wet but just be sure to rinse off any soap or shampoo and pat the area thoroughly dry.

Showering/Washing/Bathing
We do not recommend soaking in a bath until your wound has healed completely. You should take your sling off to shower, however, you may need some assistance with showering until you become more confident. As you are unable to raise your arm to wash under it, you should bend forward so that your arm gently swings forward enabling you to wash your armpit.

Sleeping/Rest
You will not be able to do everything that you were doing before your operation and you will no doubt feel quite tired after discharge from the hospital. You may find it difficult to get comfortable. Try setting up a “tri-pillow” arrangement so that your back and shoulders are supported by pillows and also remember to take your pain relief before going to bed. Note that if you are sleeping a lot during the day, you may have difficulty sleeping at night.

Dressing
While wearing a sling, you may find it easier to wear button-up shirts as these can be put on easily with minimal movement of your operated shoulder.

It is recommended when dressing that you place the arm that has been operated on into the sleeve of your clothing first. Thus when undressing, take your unoperated arm out first.

The sling
Your arm is rested in a sling for comfort and to rest it while it heals. If this sling is not comfortable please let the staff know as soon as possible. As stated before it is worn about 4 weeks, however after the first 3 weeks it may be removed for increasing periods of time provided there is no risk of injuring the arm i.e. you are in a safe environment. It is recommended that you wear the sling when leaving the house.

Follow-up visits
You will see Dr Duckworth approximately one week after surgery to review your wound. Further follow-up will be determined by him depending on your rate of progress.

Driving a car
Driving with two hands is allowed as soon as the patient has control of the operated arm (about 4 weeks). Driving with one arm in a sling is NOT recommended.

We recommend you check with the RMS regarding the legalities re requirements for driving while your arm is in a sling.

Returning to work
Patients can usually return to office work as soon as they are comfortable. You should be able to perform table/desk level duties after a couple of weeks. Some employers will not allow a worker to return wearing a sling and therefore in those circumstances you should expect to be off work for 4 weeks. It usually takes about 8-10 weeks before you can do light manual tasks and about 12-14 weeks before you can do heavy duties.

Sport
You cannot return to contact sports until your shoulder has been reassessed 6 months after surgery, and then only if you have excellent strength and coordinated control of your shoulder.

Physiotherapy/exercises
Even though your arm is to remain in a sling for the next four weeks, you may remove the sling 3 times a day for active elbow flexion and extension exercises. You will need to maintain the strength of your grip by squeezing a ball, sponge or putty and this can start almost immediately after surgery. Simple movement of wrist and fingers is encouraged.

For specific advice regarding AC joint reconstruction surgery, please book an appointment with Dr David Duckworth on (02) 9806 3333

For appointments and enquiries, please phone (02) 9806 3333

8am to 5pm, Monday to Friday

© 2008- Dr David Duckworth

Website by: WebInjection